Bienvenue au cabinet dentaire | Activité exclusive en orthodontie à Grenade

05 62 79 79 79   2B rue du 11 novembre 1918, 31330 GRENADE

L'orthodontie

Le cabinet du Dr SABATTÉ vous propose des soins exclusivement d’orthodontie à Grenade.

L’orthodontie c’est quoi ?

L’orthopédie dento-faciale, communément appelée « orthodontie », est l’étude et le traitement des troubles liés aux anomalies de la forme des mâchoires et de la position des dents.

L’orthodontie permet de corriger les malpositions dentaires ainsi que les anomalies de taille et de position des maxillaires afin de retrouver une denture fonctionnelle et esthétique.

La première consultation est préconisée vers l’âge de 7 ans. Cependant, les traitements orthodontiques sont possibles à tout âge. Les adultes peuvent réaligner leurs dents de la même façon que les enfants.

Les différents traitements en orthodontie :

Enfants

Enfants

Adolescents

Adolescents

Adultes

Adultes

Les étapes du traitement d'orthodontie

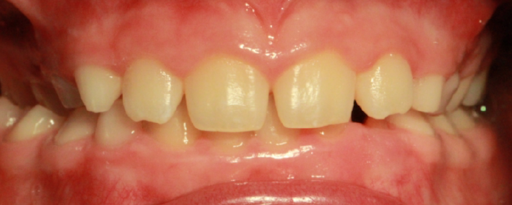
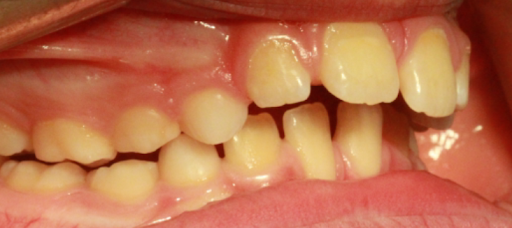
Traitements adultes

A tout âge son traitement orthodontique. Les dents bougent naturellement tout au long de la vie. 

Il existe différentes techniques de traitements :

Des gouttières transparentes amovibles portées en permanence permettent de réaligner les dents, sauf au cours des repas et du brossage des dents. Le changement régulier de gouttière permet un déplacement dentaire progressif.
Discret, confortable, et pouvant se retirer pour manger et se brosser les dents, les aligneurs offrent beaucoup d’avantages.

Les attaches en céramique collées sur la face externe des dents sont reliées entre elles par un fil métallique. Le dispositif est très discret. 

Les indications sont multiples :

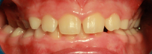
Traitements adolescents

Chez l’adolescent, la denture est définitive. Le traitement a pour but :   d’aligner les dents,  de corriger les décalages dentaires et des bases osseuses  d‘obtenir une bonne relations des dents .

Le cabinet dentaire accompagne vos enfants en proposant les techniques orthodontiques traditionnelles (bagues métalliques et céramiques) ainsi que les plus récentes (aligneurs invisibles)

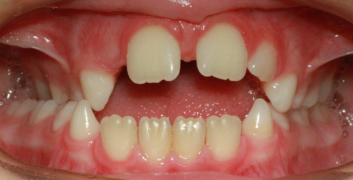
Traitements Enfants

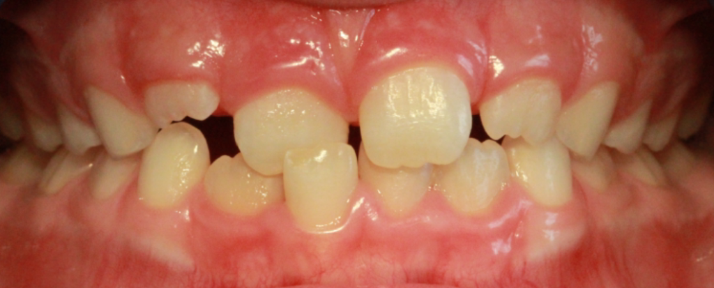
De 7 et 11 ans environ, l’enfant présente une denture mixte, c’est-à-dire qu’il présente à la fois des dents de lait et des dents définitives.

De courte durée (environ 1 an), un traitement interceptif peut alors corriger les anomalies apparues de façon précoce chez l’enfant.

L’objectif est un retour à une croissance équilibrée, diminuer le recours aux extractions de dents définitives et simplifier la phase orthodontique à l’adolescence.

Les indications les plus fréquentes :

les dents du bas passent devant les dents du haut.

les dents du haut passent à l’intérieur des dents du bas.

les incisives du haut sont loin des incisives du bas.

Les incisives du haut recouvrent totalement les incisives du bas.

les dents se chevauchent.

les dents de devant ne se touchent pas.

Différents appareils, fixes ou amovibles, seront mis en place selon les objectifs du traitement.

La première consultation

La première consultation va nous permettre de répondre aux questions suivantes :

Le bilan:

Le bilan orthodontique est constitué de :

Les examens réalisés permettront d’établir le diagnostic, le plan de traitement et de définir les objectifs à atteindre.

La séance d’explication

Après analyse des différents éléments,  un diagnostic précis sera établi, le traitement sera présenté au cours d’une séance d’explication, avec remise des documents administratifs, des devis et des conseils liés au port d’un appareil orthodontique. 

Le traitement actif :

Le traitement actif est le traitement orthodontique lui-même, de la pose de l’appareil à sa dépose.

  • La pose de l’appareil : c’est un rendez-vous long (environ 1h) comprenant la mise en place de l’appareil, les conseils et précautions indispensables au bon déroulement de l’ensemble du traitement. Il est fixé sur le temps scolaire.
  • Les rendez-vous de suivi :  ils sont courts pour réaliser les différents contrôles, réglages et activations de l’appareil. Fixés au mieux en dehors du temps scolaire, leurs durées et leurs fréquences sont variables.
  • La dépose de l’appareil : c’est un long rendez-vous en fin de traitement actif lorsque les objectifs thérapeutiques esthétiques et fonctionnels sont atteints. Il est fixé sur le temps scolaire.

La contention

La contention maintient pendant quelques temps les acquis du traitement pour permettre à l’ensemble dento-maxillaire de se stabiliser.

Elle limite le risque de récidive, sans pour autant pouvoir l’éliminer complètement. La période de contention est aussi importante que le traitement lui-même.

De façon pratique, des fils métalliques très fins sont collés à l’arrière des dents antérieures en haut et en bas. Invisibles, leur rôle est de conserver l’alignement des dents à la fin du traitement orthodontique.

Une gouttière de contention doit être portée sur les dents du haut d’abord toutes les nuits, puis le port est diminué jusqu’à être arrêté complètement au bout d’un an.

Cette période de contention dure en moyenne 1 à 2 ans et permet chez l’adolescent de surveiller l’évolution de ses dents de sagesse et le déroulement de la fin de sa croissance.